Request
an Appointment
Call
Our Office
Map
Us
(802) 362-1099
74 Longview Drive
P.O. Box 317
Manchester VT 05254
Home
About Us
Meet Our Dental Team
Meet Dr. Mason
Meet Dr. Guy
Meet Dr. Bronstein
Meet Dr. Chuang
Office Tour
Smile Gallery
Our Services
Preventive Dentistry
Dental Checkups and Cleanings
Restorative Dentistry
Dental Bridges
Oral Surgery
Dental Crowns
Root Canal Therapy
Dental Implants
All-on-4
Dentures
Cosmetic Dentistry
Porcelain Veneers
Teeth Whitening
Periodontal Therapy
Invisalign Clear Braces
Sedation Dentistry
Children’s Dentistry
Dental Emergencies
Dental Technology
Patients
Forms
Membership Plan
FAQs
Post Operative Videos
Referrals
Blog
Contact Us
Request an Appointment
Dentist Near Arlington
Dentist Near Manchester
Blog
Request
Reviews
Like Us
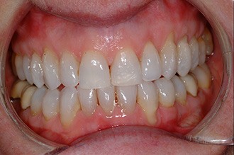
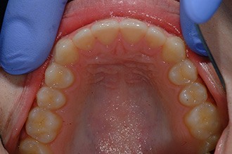
Smile Gallery
Before
After
Invisalign
Before
After
Invisalign
Before
After
Invisalign
Before
After
Invisalign
Before
After
Invisalign
Before
After
Invisalign
Before
After
Invisalign
Before
After
Veneers